Легені хворого повністю пошкоджені хворобою. Про це зазначила Ірина Заславець на своїй фейсбук-сторінці.
Також на тему: Новини про коронавірус 24 листопада: чи послаблять карантин на Різдво, гонитва за вакциною
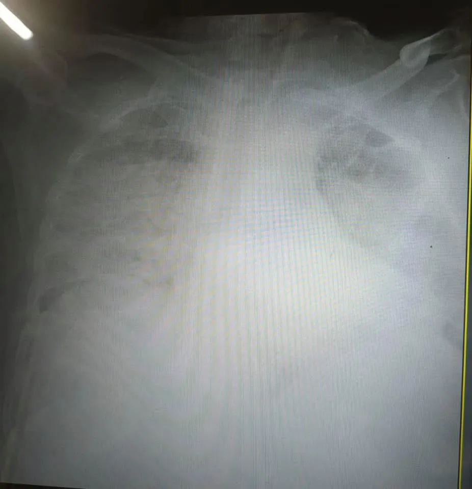
Це одні з найстрашніших легенів, які я бачила в житті, – сказала мені щойно очільниця реанімації клінічної лікарні швидкої медичної допомоги Львова,
– написала жінка.
Легені хворого на коронавірус / Фото Facebook Ірина Заславець
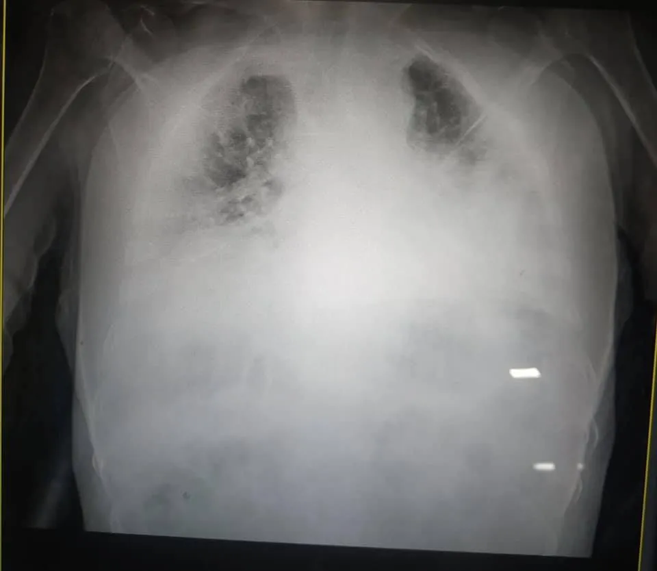
Вона додала, що з Винників до медзакладу привезли 18 пацієнтів з коронавірусом. 7 із них – в реанімації. Усі в критичному стані.
Пошкодження легенів коронавірусом / Фото Facebook Ірина Заславець
Яка ситуація з коронавірусом у Львівській області
- Львівська область перебуває на третьому місці за кількістю хворих на коронавірус в Україні після Києва та Харківської області.
- У Львівській області захворіло 42 050 людей. Від хвороби померло 1 176 осіб, одужало – 27 222.




