Специалисты датского Национального госпиталя (Rigshospitalet) разработали технологию, основанную на пересадке фолликулов на подготовленный каркас из соединительной ткани, передает The Guardian.
Читайте также: Как улучшить состояние легких после отказа от курения
Это позволит забеременеть женщинам, которые потеряли фертильность после курсов химиотерапии или радиотерапии.
Сегодня существует несколько методов, которые помогают женщинам забеременеть после такого лечения, в частности, из-за замораживания тканей яичников, когда по завершении терапии ткань пересаживают назад пациентке. Но этот метод не будет эффективным, если болезнь затронула ткани яичников.
"Искусственные яичники" помогут забеременеть после курсов химиотерапии
Поэтому ученые из Дании разработали технологию, где предлагают "строить" образец для пересадки искусственно.
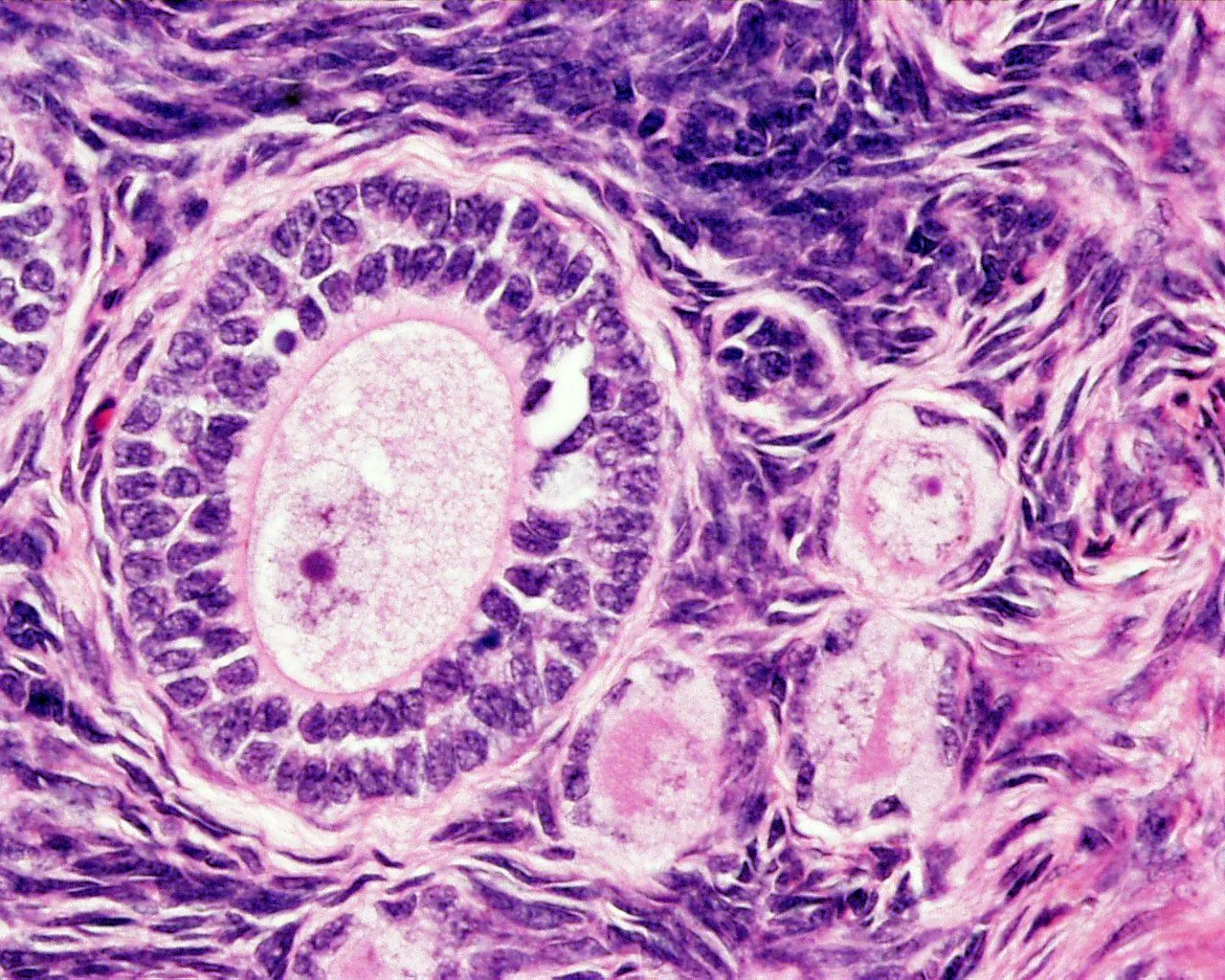
С помощью реактивов ткань яичника очищают от клеток, которых могло коснуться онкологическое заболевание, оставляя каркас из соединительной ткани. Затем на основание пересаживают подготовлены фолликулы, полученные из организма женщины. Поскольку яйцеклетки в фолликулах защищены базальной мембраной, распространение раковых клеток не может повредить их.
Технологию уже испытали на лабораторных мышах – им пересадили подготовленную ткань яичников, которая содержит по 20 человеческих фолликулов. Около четверти фолликулов оставались живыми дольше трех недель, до этого времени вокруг образца начали формироваться кровеносные сосуды. И проводить испытания с участием людей удастся не раньше, чем через 5-10 лет.
Больше новостей, касающихся лечения различных заболеваний, медицины в Украине, здорового образа жизни и питания, беременности и родов, открытий в области медицины и многое другое – читайте в разделе Здоровье.



